Carillas Dentales en Madrid

Transforma tu sonrisa con nuestro tratamiento de Carillas Dentales en Madrid
Diseño de sonrisa

Consigue la sonrisa que siempre has deseado

Entendemos el impacto que una sonrisa estética puede tener en tu confianza y autoestima.

Nuestro tratamiento de carillas dentales está diseñado para mejorar la apariencia estética de tus dientes, corrigiendo imperfecciones y creando una sonrisa deslumbrante y natural.

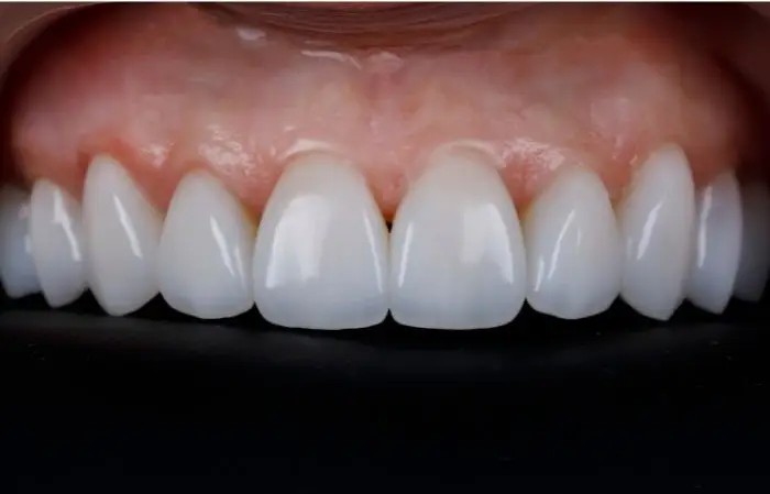
¿Qué son las Carillas Dentales?

Las Carillas Dentales son láminas delgadas de porcelana o composite que se adhieren a la superficie frontal de los dientes para mejorar su apariencia estética.

Se utilizan para corregir una variedad de problemas dentales cosméticos, como manchas, decoloraciones, astillamientos, fracturas, desgastes y malformaciones.

Las carillas dentales son una solución duradera para transformar tu sonrisa de manera rápida y efectiva.

Carillas dentales barajas

¿Cómo funciona el tratamiento de Carillas Dentales?

Nuestro equipo de especialistas en estética dental comenzará por evaluar la salud y el estado de tus dientes y discutir tus objetivos estéticos.

Luego, procederemos a:

  • Diseño personalizado: Tomaremos impresiones de tus dientes y trabajaremos contigo para diseñar carillas dentales que se adapten perfectamente a tus necesidades y preferencias estéticas.

  • Preparación de los dientes: Se realizará una preparación mínima de los dientes para crear espacio para las carillas dentales. Dependiendo del tipo de carilla dental, este proceso puede implicar un mínimo desgaste del esmalte dental.

  • Toma de impresiones: Tomaremos impresiones precisas de tus dientes para crear carillas dentales a medida que se ajusten perfectamente a tu sonrisa.

  • Colocación de las carillas: Una vez que las carillas dentales estén listas, las adheriremos cuidadosamente a la superficie frontal de tus dientes utilizando un adhesivo dental especializado. Luego, ajustaremos y puliremos las carillas para lograr un resultado estético y funcional óptimo.

Mejora estética inmediata

Durabilidad y resistencia

Procedimiento mínimamente invasivo

Materiales de alta calidad

Tipos de Carillas Dentales

En la clínica Doctores Hernanz, ofrecemos una variedad de tipos de carillas dentales para adaptarnos a las necesidades y preferencias estéticas de cada paciente. Nuestros expertos te ayudarán a elegir el tipo de carilla dental que mejor se ajuste a tus objetivos estéticos y necesidades dentales. Aquí hay una descripción de los tipos de carillas dentales que ofrecemos:
Diseño sonrisa Barajas

Carillas de Porcelana

Las carillas de porcelana son conocidas por su durabilidad, resistencia a las manchas y su aspecto natural. Estas carillas son muy delgadas y se adhieren a la superficie frontal de los dientes, proporcionando una solución estética permanente para corregir imperfecciones dentales.

Carillas de Composite

Las carillas de composite están hechas de un material de resina compuesta que se adhiere directamente a los dientes y se esculpe para lograr la forma y el color deseados. Son una opción más económica que las carillas de porcelana y se pueden reparar fácilmente si se dañan.

Carillas Lumineers

Las Lumineers son una marca de carillas de porcelana ultrafinas que requieren poco o ningún desgaste del esmalte dental natural. Son una opción ideal para aquellos que desean una transformación dental sin sacrificar la estructura natural de sus dientes.

Carillas de Zirconio

Las carillas de zirconio son conocidas por su resistencia y durabilidad excepcionales. Están hechas de un material cerámico altamente resistente que proporciona resultados estéticos y funcionales a largo plazo.

Carillas de Emax

Las carillas de Emax son carillas de porcelana de alta calidad que ofrecen una excelente translucidez y estética. Son una opción popular para aquellos que buscan una sonrisa natural y radiante.

¿No estás seguro de cuál es el tipo adecuado para ti?

No te preocupes, nuestro equipo de especialistas en estética dental estará encantado de guiarte a través de tus opciones y recomendarte el tipo de carilla dental que mejor se adapte a tus necesidades y preferencias.

¡Agenda una consulta y descubre cómo nuestras carillas dentales pueden transformar tu sonrisa hoy mismo!

¿Por qué elegirnos para tu tratamiento de Carillas Dentales en Madrid?

Materiales de calidad

Utilizamos materiales de la más alta calidad y tecnología avanzada para garantizar resultados estéticos y duraderos.

Profesionales con experiencia

Nuestro equipo de odontólogos cuenta con una amplia experiencia y habilidades técnicas en la colocación de carillas dentales, brindando resultados naturales y hermosos a nuestros pacientes.

Seguimiento y cuidado post-tratamiento

Después del tratamiento, te proporcionaremos instrucciones sobre cómo cuidar y mantener tu nueva sonrisa, así como seguimiento para garantizar tu satisfacción a largo plazo.

Atención personalizada

Nos tomamos el tiempo para entender tus necesidades y trabajamos contigo para crear una sonrisa que refleje tu personalidad.

Nuestros pacientes opinan

"No hay segunda oportunidad para dar una primera buena impresión"

Contacto

Denticor SL solicita su consentimiento para prestarle el servicio solicitado y contestar a las cuestiones planteadas. La legitimación tiene como base jurídica el consentimiento del interesado para los fines expresados. Los datos no se cederán a terceros salvo en los casos en que exista una obligación legal. En todo caso, los datos que nos facilitas están ubicados en servidores cuya sede se encuentra dentro del territorio de la UE o gestionados por Encargados de Tratamiento acogidos al acuerdo “Privacy Shield”. Tiene derecho a acceder, rectificar y suprimir los datos, así como otros derechos, como se explica en la información adicional. Si no facilitas los datos solicitados como obligatorios, puede dar como resultado no poder cumplir con la finalidad para los que se solicitan. Política de privacidad

Este sitio web utiliza cookies para que usted tenga la mejor experiencia de usuario. Si continúa navegando está dando su consentimiento para la aceptación de las mencionadas cookies y la aceptación de nuestra política de cookies, pinche el enlace para mayor información.plugin cookies

ACEPTAR
Aviso de cookies